Kafa Kaide ve Beyin Cerrahisi
Hipofiz Cerrahisi
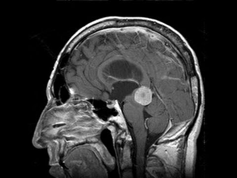
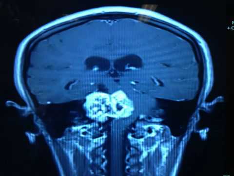
Nöroonkoloji
Pediatrik Nöroşirürji
Periferik Sinir Cerrahisi
Orbita Tümörleri
Omurga ve Spinal Cerrahi
Bursa Uludağ Üniversitesi Tıp Fakültesi Nöroşirürji Anabilim Dalı Öğretim Üyesi
Bursa Erkek Lisesi’nden mezun olduktan sonra 1980 yılında Uludağ Üniversitesi Tıp Fakültesi’nde tıp eğitimine başlayan Prof. Dr. Selçuk YILMAZLAR, 1986 yılında mezun olmuştur. Zorunlu hizmetini Elazığ/Ağın’da tamamladıktan sonra, 1987 yılında İstanbul Üniversitesi Cerrahpaşa Tıp Fakültesi Nöroşirürji Anabilim Dalı’nda uzmanlık eğitimine başlamış ve 1993 yılında nöroşirürji uzmanı olmuştur.
1994-1997 yılları arasında Bursa Yüksek İhtisas Eğitim ve Araştırma Hastanesi’nde, 1997-2000 yılları arasında ise Uludağ Üniversitesi Tıp Fakültesi’nde nöroşirürji uzmanı olarak görev yapmıştır. Bu dönemde, 1999 yılında Ankara Üniversitesi Tıp Fakültesi’nde kafa kaidesi cerrahisi ve anatomisi üzerine çalışmalar yürütmüştür.
2000 yılında Uludağ Üniversitesi Tıp Fakültesi’nde yardımcı doçent olarak akademik hayata adım atan Prof. Dr. Selçuk YILMAZLAR, bu süreçte Amerika Birleşik Devletleri’nde University of Arkansas for Medical Sciences (UAMS), Department of Neurosurgery’de Prof. Dr. Al-Mefthy ve dünyaca ünlü Prof. Dr. Gazi Yaşargil ile birlikte çalışmış, kafa kaidesi cerrahisi ve mikronöroşirürji alanında ileri düzey eğitim almış, ayrıca skull base laboratuvarında araştırmalar yürütmüştür.
2006-2011 yılları arasında doçent olarak görev yapan Prof. Dr. Selçuk YILMAZLAR, 2011 yılında profesörlük unvanını almıştır. 2014-2023 yılları arasında iki dönem Uludağ Üniversitesi Tıp Fakültesi Nöroşirürji Anabilim Dalı Başkanlığı yapmış olup, halen aynı anabilim dalında öğretim üyesi olarak akademik ve klinik çalışmalarına devam etmektedir.
UZMANLIK ALANLARI
Prof. Dr. Selçuk Yılmazlar, nöroşirürji alanında klinik ve cerrahi uygulamalarıyla ulusal ve uluslararası düzeyde çalışmalar yürütmekte olup, beyin, omurga ve sinir sistemi hastalıklarının tanı ve tedavisinde modern cerrahi yöntemler uygulamaktadır. Uzmanlık alanları arasında beyin tümörleri, bel ve boyun fıtıkları, damar ve sinir cerrahisi gibi birçok alanda hastalarına hizmet sunmaktadır.
Videolar
İletişim
+90 224 295 27 12
Bursa Uludağ Üniversitesi Tıp Fakültesi Beyin ve Sinir Cerrahisi AD




